
😍
Konya Ortodonti
Daima Gülümseyin
Çünkü Size Çok
Konya Uzman Diş Hekimi Gizem Yurttadur, ağız ve diş sağlığı alanında özellikle ortodonti tedavileri üzerine çalışmalarını sürdürmektedir. Ortodontik değerlendirme sürecinde, bireyin diş dizilimi, çene yapısı ve kapanış ilişkileri detaylı olarak ele alınmaktadır. Ortodonti alanında uygulanan diş teli, şeffaf plak ve diğer ortodontik tedavi yöntemleri; kişiye özel muayene ve değerlendirme sonrasında planlanır. Ortodontik tedavilerde amaç, ağız ve diş sağlığının fonksiyonel olarak desteklenmesi ve uzun dönemli stabilitenin sağlanmasıdır.
Ortodontik tedavi; diş dizilimi ve çene ilişkilerinin değerlendirilmesine yönelik uygulamaları kapsar. Konya ortodontialanında uygulanan Konya diş teli ve şeffaf plak gibi yöntemler, dişlerin hizalanmasını ve ağız fonksiyonlarının desteklenmesini amaçlar.
Çocuk ortodontisi, büyüme ve gelişim döneminde diş ve çene yapısının izlenmesini kapsar. Erken dönemde yapılan ortodontik değerlendirmeler, diş dizilimi ve çene uyumsuzluklarının kontrol altına alınmasına yardımcı olmayı amaçlar.
Yetişkin ortodontisi, yetişkin bireylerde diş dizilimi ve çene ilişkilerinin değerlendirilmesine yönelik ortodontik tedavileri kapsar. Diş teli ve benzeri ortodontik yöntemler, bireysel muayene sonrasında planlanır.
Şeffaf plak tedavisi, diş teli tedavisine alternatif olarak değerlendirilen ortodontik yöntemlerden biridir. Konya ortodonti alanında uygulanan şeffaf plaklar, kişiye özel olarak planlanır ve dişlerin kademeli şekilde hizalanmasını amaçlar. Çıkarılabilir yapıları ve estetik görünümleri nedeniyle bazı vakalarda tercih edilebilir.
Diş teli tedavisi, diş dizilimi ve çene ilişkilerinin değerlendirilmesine yönelik ortodontik uygulamaları kapsar. Ortodontik cihazlar kullanılarak dişlerdeki çapraşıklıklar, aralıklar ve kapanış sorunları bireysel muayene sonrasında ele alınır.
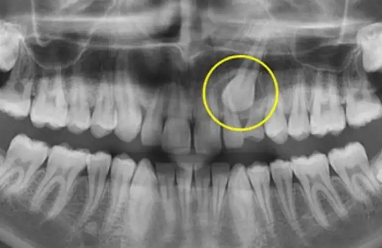
Gömülü diş tedavisi, çene kemiği içinde sürmeyen veya yanlış konumlanan dişlerin ağız sağlığını koruyacak şekilde değerlendirilmesini ve uygun tedavi yöntemlerinin planlanmasını amaçlar; böylece olası ağrı, enfeksiyon ve komşu dişlere zarar verme risklerinin önüne geçilmesi hedeflenir.
Lingual ortodonti, dişlerin iç yüzeyine yerleştirilen özel braketler sayesinde dışarıdan fark edilmeden uygulanan bir ortodontik tedavi yöntemidir; Konya lingual ortodonti tedavisi, estetik kaygı yaşamadan diş dizilimini düzeltmek isteyen bireyler için konforlu ve etkili bir seçenek sunar.
Pekiştirme tedavisi, ortodontik tedavi sonrasında dişlerin yeni konumlarını koruması ve eski hâline dönme eğiliminin önlenmesi amacıyla uygulanan önemli bir süreçtir; Konya pekiştirme tedavisi kapsamında kullanılan sabit veya hareketli apareylerle, elde edilen ortodontik sonuçların uzun vadede stabil ve sağlıklı şekilde devam etmesi hedeflenir.
Çene eklemi rahatsızlıkları, çiğneme kasları ve çene eklemi arasındaki uyumsuzluklara bağlı olarak ağrı, ses gelmesi ve ağız açmada kısıtlılık gibi sorunlara yol açabilir; Konya çene eklemi rahatsızlıkları tedavisinde amaç, eklemin fonksiyonunu rahatlatmak ve hastanın günlük yaşam konforunu koruyucu yaklaşımlarla desteklemektir.
Invisalign tedavisi, şeffaf ve çıkarılabilir plaklar kullanılarak dişlerin hizalanmasının değerlendirilmesine yönelik bir ortodontik yöntemdir. Plaklar kişiye özel olarak planlanır ve estetik açıdan daha az fark edilir bir seçenek olarak ele alınabilir.

