Skip links

Konya Diş Beyazlatma Tedavisi

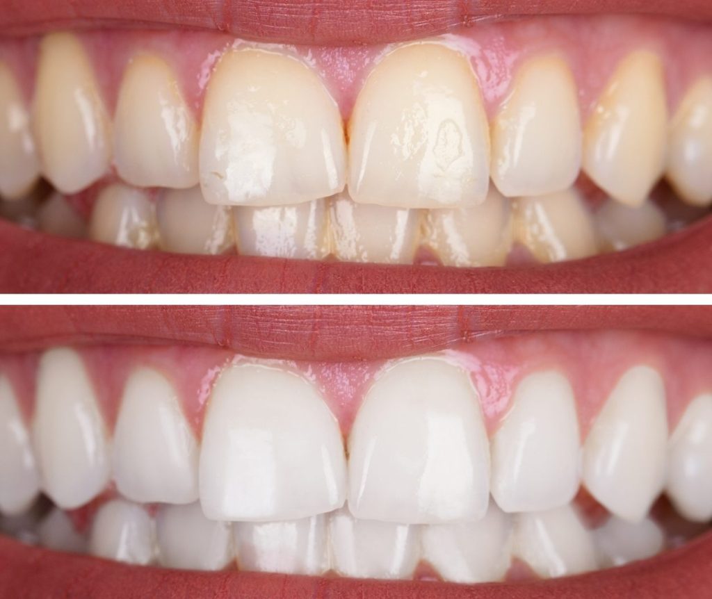
Beyaz ve sağlıklı görünen dişler, estetik bir gülüşün en önemli tamamlayıcı unsurlarından biridir. Günlük yaşamda çay, kahve, sigara tüketimi, bazı ilaçlar ve yaşa bağlı fizyolojik değişimler nedeniyle dişlerde zamanla renklenmeler oluşabilir. Konya diş beyazlatma tedavisi, dişlerin doğal yapısına zarar vermeden daha açık ve canlı bir renk tonuna kavuşmasını amaçlayan estetik bir diş hekimliği uygulamasıdır.

Diş beyazlatma işlemi, diş minesinde ve dentin tabakasında oluşan renklenmelerin özel beyazlatma ajanları ile giderilmesini hedefler. Uygulama şekline ve ihtiyaçlara göre farklı yöntemler kullanılabilmektedir.

Diş Beyazlatma (Bleaching) Nedir?

Diş beyazlatma, dişlerin yüzeyinde veya diş dokusu içinde meydana gelen renk değişimlerinin kontrollü şekilde açılması işlemidir. Bleaching olarak da adlandırılan bu uygulama, dişlerin doğal rengini birkaç ton açmayı hedefler. Tedavi, diş hekimi kontrolünde yapıldığında güvenli ve etkili sonuçlar sağlar.

Konya bleaching uygulamaları, kişinin diş yapısı, mevcut renklenmenin nedeni ve hedeflenen beyazlık derecesine göre planlanır.

Dişlerde Renklenme Nedenleri Nelerdir?

Dişlerde oluşan renk değişimleri genel olarak iki ana gruba ayrılır:

Dış Kaynaklı Renklenmeler

  • Çay, kahve, kırmızı şarap ve kola tüketimi

  • Sigara ve tütün ürünleri

  • Yetersiz ağız hijyeni

  • Diş yüzeyinde plak ve tartar birikimi

İç Kaynaklı Renklenmeler

  • Travmaya bağlı diş içi kanamalar

  • Kanal tedavisi sonrası oluşan renk değişimleri

  • Çocukluk döneminde kullanılan bazı antibiyotikler

  • Diş gelişimi sırasında oluşan mine yapısı bozuklukları

Bu nedenlere bağlı olarak oluşan renklenmelerde, Konya diş beyazlatma tedavisi ile etkili sonuçlar elde edilebilir.

Konya Diş Beyazlatma Yöntemleri Nelerdir?

Diş beyazlatma işlemleri uygulama şekline göre farklı yöntemlere ayrılır. Hangi yöntemin tercih edileceği, diş hekiminin muayenesi sonrası belirlenir.

Ev Tipi Diş Beyazlatma

Ev tipi diş beyazlatma, kişiye özel hazırlanan şeffaf plaklar aracılığıyla uygulanan bir yöntemdir. Bu yöntemde hastanın ağız ölçüsü alınarak dişlere tam uyumlu plaklar hazırlanır.

Ev Tipi Beyazlatma Nasıl Uygulanır?

  • Diş hekimi tarafından kişiye özel plaklar hazırlanır

  • Plakların içine belirlenen miktarda beyazlatma jeli yerleştirilir

  • Plaklar günde ortalama 4–8 saat takılır

  • Tedavi süresi genellikle 10–15 gün arasında değişir

Ev tipi beyazlatmada diş rengi kademeli olarak açılır. Bu yöntemin en önemli avantajlarından biri, beyazlatma etkisinin daha uzun süre korunabilmesidir.

Ofis Tipi Diş Beyazlatma (Klinik Tipi Bleaching)

Ofis tipi diş beyazlatma, diş hekimi tarafından klinik ortamda uygulanan bir yöntemdir. Halk arasında “lazerle diş beyazlatma” olarak da bilinir.

Ofis Tipi Beyazlatma Nasıl Yapılır?

  • Diş etleri özel koruyucu bariyerlerle izole edilir

  • Beyazlatma jeli diş yüzeyine uygulanır

  • Jel, lazer veya UV ışığı ile aktive edilir

  • Uygulama süresi yaklaşık 45–60 dakikadır

Bu yöntemle kısa sürede gözle görülür bir beyazlama sağlanabilir. Daha kalıcı sonuçlar elde etmek için ofis tipi beyazlatma sonrasında ev tipi beyazlatma ile desteklenmesi önerilebilir.

Tek Diş Beyazlatma (İçten Beyazlatma – Endobleaching)

Tek diş beyazlatma, kanal tedavisi sonrası rengi koyulaşmış dişlerde uygulanan özel bir yöntemdir.

İçten Beyazlatma Nasıl Yapılır?

  • Dişin eski dolgusu kontrollü şekilde çıkarılır

  • Dişin iç kısmına beyazlatma ajanı yerleştirilir

  • Diş geçici dolgu ile kapatılır

  • İşlem 2–3 seans boyunca tekrarlanabilir

İstenilen renk elde edildikten sonra diş içi güçlendirilir ve kalıcı dolgu yapılır. Bu yöntem özellikle ön dişlerde estetik açıdan etkili sonuçlar sağlar.

Diş Beyazlatma Kimlere Uygulanabilir?

Konya diş beyazlatma tedavisi, genel ağız sağlığı iyi olan ve diş eti problemi bulunmayan bireylere uygulanabilir. Genel olarak:

  • 18 yaşını doldurmuş yetişkinler

  • Diş eti hastalığı olmayan bireyler

  • Çürük ve dolgu problemleri tedavi edilmiş hastalar

için uygun bir işlemdir.

Diş Beyazlatma Kimlere Önerilmez?

  • Hamile ve emziren bireyler

  • Ciddi diş eti hastalığı bulunanlar

  • Mine yapısı ileri derecede hasarlı dişler

  • Kontrolsüz diş hassasiyeti olan hastalar

Bu durumlarda beyazlatma öncesi diş hekimi değerlendirmesi mutlaka yapılmalıdır.

Diş Beyazlatma Sonrası Dikkat Edilmesi Gerekenler

Beyazlatma işlemi sonrası elde edilen rengin korunması için bazı noktalara dikkat edilmesi önemlidir:

  • İlk 48 saat çay, kahve, şarap ve kola gibi boyayıcı içeceklerden kaçınılmalıdır

  • Sigara ve tütün ürünleri kullanılmamalıdır

  • Asitli ve renkli gıdalar sınırlandırılmalıdır

  • Düzenli ağız bakımı ihmal edilmemelidir

Bu kurallara uyulduğunda Konya bleaching uygulamalarının etkisi uzun süre korunabilir.

Diş Beyazlatma Hassasiyet Yapar mı?

Beyazlatma sonrası geçici diş hassasiyeti oluşabilir. Bu durum genellikle birkaç gün içinde kendiliğinden geçer. Hassasiyetin şiddeti ve süresi kişiden kişiye değişebilir. Diş hekiminin önerdiği hassasiyet giderici ürünler bu süreçte rahatlama sağlar.

Diş Beyazlatma Kalıcı mıdır?

Diş beyazlatma işlemi kalıcı bir renk değişimi sağlamaz; ancak doğru bakım ile uzun süreli etki elde edilebilir. Beslenme alışkanlıkları, ağız hijyeni ve düzenli diş hekimi kontrolleri, beyazlığın korunmasında belirleyici faktörlerdir.

Konya diş beyazlatma tedavisi, dişlerin doğal yapısına zarar vermeden daha estetik ve sağlıklı bir gülüş elde edilmesini sağlar. Ev tipi, ofis tipi ve tek diş beyazlatma gibi farklı yöntemlerle kişiye özel çözümler sunulabilir. Uygun yöntemin belirlenmesi ve güvenli sonuçlar için mutlaka diş hekimi muayenesi gereklidir.

Explore
Drag