Skip links
Skip to primary navigation
Skip to content
Hakkımda
Ortodontik Tedaviler
Ortodontik Tedaviler
Çocuk Ortodontisi
Yetişkin Ortodontisi
Şeffaf Plak Tedavisi
Diş Teli Tedavisi
Gömülü Diş Tedavisi
Lingual Ortodonti
Braket Çeşitleri
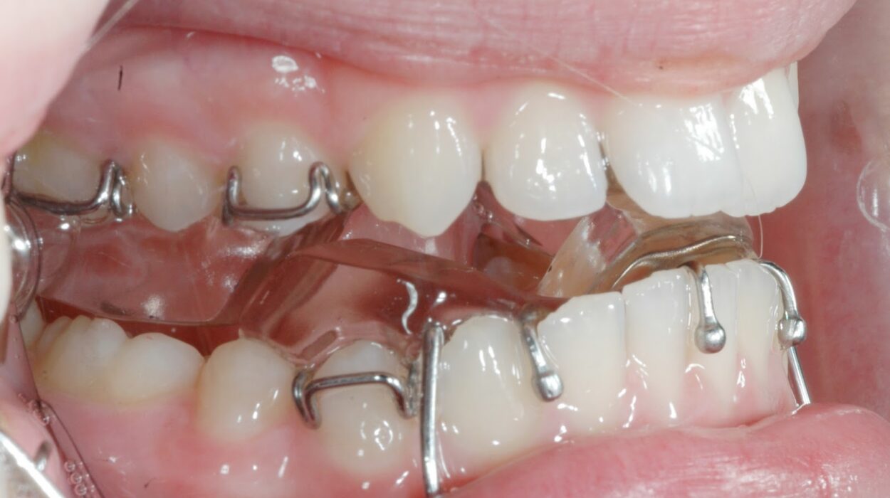
Ortodontik Aygıtlar
Pekiştirme Tedavisi
Çene Eklemi Rahatsızlıkları
Invisalign Tedavisi
Tedaviler
Estetik Diş Hekimliği
Gülüş Tasarımı
İmplant Tedavisi
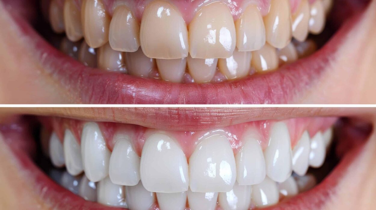
Diş Beyazlatma Tedavisi
Zirkonyum Kaplama
Diş Protez Tedavisi
Çocuk Diş Hekimliği (Pedodonti)
Genel Anestezi ile Diş Tedavisi
Estetik Diş Dolgusu
Lamine Diş Kaplama
Porselen Diş Kaplama
Blog
Video Galeri
İletişim
Randevu Planlayalım
Toggle navigation
Hakkımda
Ortodontik Tedaviler
Ortodontik Tedaviler
Çocuk Ortodontisi
Yetişkin Ortodontisi
Şeffaf Plak Tedavisi
Diş Teli Tedavisi
Gömülü Diş Tedavisi
Lingual Ortodonti
Braket Çeşitleri
Ortodontik Aygıtlar
Pekiştirme Tedavisi
Çene Eklemi Rahatsızlıkları
Invisalign Tedavisi
Tedaviler
Estetik Diş Hekimliği
Gülüş Tasarımı
İmplant Tedavisi
Diş Beyazlatma Tedavisi
Zirkonyum Kaplama
Diş Protez Tedavisi
Çocuk Diş Hekimliği (Pedodonti)
Genel Anestezi ile Diş Tedavisi
Estetik Diş Dolgusu
Lamine Diş Kaplama
Porselen Diş Kaplama
Blog
Video Galeri
İletişim
Blog
1 gün ago
Devital Bleaching Nedir?
1 hafta ago
Biberon Çürüğü Nedir?
1 hafta ago
Konya All-on-4 ve All-on-6 İmplant Tedavisi Nedir?
2 hafta ago
Porselen Diş Kaplaması Nedir?
2 hafta ago
Konya Şeffaf Plak Tedavisi Fiyatları 2026
3 hafta ago
Konya Diş Beyazlatma Uygulamaları Nasıl Yapılır?
3 hafta ago
Konya Diş Tedavisi Süreci
3 hafta ago
Dişlerde Renk Değişimi Neden Olur?
4 hafta ago
Tek Diş Eksikliğinde İmplant
4 hafta ago
Gülüş Tasarımı Nedir?
1
2
3
…
5
Explore
Drag
Adding {{itemName}} to cart
Added {{itemName}} to cart
Loading...
×