Skip links

Konya Invisalign Tedavisi

Ortodontik tedaviler, dişlerin ve çenelerin sağlıklı, dengeli ve fonksiyonel bir şekilde hizalanmasını amaçlayan diş hekimliği uygulamalarıdır. Diş dizilimindeki bozukluklar yalnızca estetik görünümü değil, aynı zamanda çiğneme fonksiyonunu, konuşmayı ve ağız hijyenini de etkileyebilir. Bu nedenle ortodontik tedaviler, hem estetik hem de fonksiyonel açıdan ağız sağlığının korunmasına katkı sağlayan uygulamalar arasında yer alır.

Gelişen dijital teknolojiler ve ortodontik materyaller sayesinde günümüzde farklı tedavi seçenekleri planlanabilmektedir. Bu seçeneklerden biri de şeffaf plak sistemleri ile uygulanan ortodontik tedavilerdir. Konya Invisalign ve Konya şeffaf plak diş tedavisi, diş diziliminde düzensizlik bulunan bireylerde planlanabilen modern ortodontik yöntemler arasında yer alır. Bu tedavi yaklaşımı, kişiye özel olarak hazırlanan şeffaf plaklar aracılığıyla dişlerin kademeli biçimde hareket ettirilmesini amaçlar.

Konya Invisalign tedavisi planlanırken her hastanın diş yapısı, çene ilişkileri, periodontal durumu ve ortodontik gereksinimleri ayrıntılı şekilde değerlendirilir. Bu nedenle tedavi süreci bireysel planlama doğrultusunda ilerler. Tedaviye başlanmadan önce klinik muayene yapılır ve uygunluk değerlendirmesi gerçekleştirilir.

Invisalign Nedir?

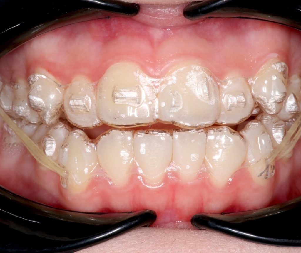
Invisalign, ortodontik tedavilerde kullanılan, şeffaf ve çıkarılabilir plaklardan oluşan bir tedavi sistemidir. Bu plaklar, dişlerin kontrollü ve planlı bir şekilde hareket etmesini sağlayacak biçimde hazırlanır. Konya Invisalign tedavisi kapsamında kullanılan plaklar, kişiye özel ölçümler doğrultusunda üretilir ve diş yüzeyine uyum sağlayacak şekilde tasarlanır.

Şeffaf plaklar, dişlere sabitlenen braket ve tel sistemleri kullanılmadan uygulanabilir. Bu nedenle tedavi süreci boyunca diş yüzeyinde metal aparatlar bulunmaz. Konya Invisalign uygulamaları, bu özelliği nedeniyle ortodontik tedavi sırasında estetik görünümün korunmasını önemseyen bireyler tarafından değerlendirilebilen seçenekler arasında yer alır.

Invisalign plakları, dişlere belirli seviyede kontrollü kuvvet uygulayarak dişlerin planlanan konuma doğru ilerlemesini sağlar. Bu hareketler ortodontik prensiplere uygun şekilde planlanır ve her plak seti dişlerin bir sonraki aşamaya geçmesine yardımcı olur.

Konya Invisalign Tedavisi Nasıl Planlanır?

Konya Invisalign tedavisi, belirli aşamalar doğrultusunda planlanan ortodontik bir süreçtir. Tedavi planlaması yapılırken yalnızca dişlerin estetik görünümü değil, çene kapanışı, dişlerin fonksiyonel ilişkileri ve periodontal sağlık da dikkate alınır.

İlk Muayene ve Klinik Değerlendirme

Tedavi süreci detaylı bir ağız içi muayene ile başlar. Bu aşamada dişlerin dizilimi, çene kapanışı ve ortodontik gereksinimler değerlendirilir. Gerekli görüldüğünde radyografik incelemeler ve ağız içi ölçümler yapılır.

Dişlerde çürük, diş eti hastalığı veya farklı restoratif ihtiyaçlar bulunması durumunda öncelikle bu problemlerin tedavi edilmesi gerekebilir. Ortodontik tedavi planlaması, ağız sağlığının uygun hale getirilmesinden sonra yapılır.

Dijital Planlama Süreci

Konya Invisalign tedavisinde dijital ortodontik planlama tekniklerinden yararlanılır. Dişlerin ölçüleri dijital tarama sistemleri ile alınarak üç boyutlu bir model oluşturulur. Bu model üzerinden dişlerin başlangıç konumu analiz edilir ve planlanan diş hareketleri aşamalı şekilde tasarlanır.

Bu dijital planlama sayesinde tedavi süresince dişlerin hangi sırayla ve ne kadar hareket edeceği belirlenir. Her plak seti bu plan doğrultusunda hazırlanır.

Şeffaf Plakların Üretimi

Planlama tamamlandıktan sonra kişiye özel şeffaf plaklar üretilir. Her plak, dişleri belirli bir hareket aşamasına yönlendirecek şekilde tasarlanır. Plaklar ince ve şeffaf bir materyalden üretilir ve diş yapısına uyum sağlayacak şekilde hazırlanır.

Konya Invisalign tedavisinde kullanılan plaklar belirli aralıklarla değiştirilir ve her yeni plak seti dişlerin bir sonraki aşamaya geçmesine yardımcı olur.

Invisalign Plaklarının Kullanımı

Invisalign plakları, günlük yaşamı kolaylaştıracak şekilde tasarlanmış ortodontik apareylerdir. Plakların etkili olabilmesi için günün büyük bölümünde ağızda bulunması gerekir. Genel olarak plakların gün içerisinde uzun süre takılması önerilir.

Plaklar aşağıdaki durumlarda çıkarılabilir:

  • Yemek yerken

  • Sıcak içecekler tüketilirken

  • Diş fırçalama ve ağız bakımı sırasında

Bunun dışında plakların düzenli kullanılması tedavi planının ilerleyişi açısından önemlidir. Konya Invisalign tedavisi sürecinde hastalar belirli aralıklarla kontrole çağrılır ve diş hareketleri değerlendirilir.

Konya Invisalign Tedavisi Hangi Durumlarda Planlanabilir?

Konya şeffaf plak diş tedavisi bazı ortodontik problemlerin düzeltilmesinde değerlendirilebilen bir yöntemdir. Ortodontik muayene sonucunda aşağıdaki durumlarda tedavi planlanabilir:

  • Hafif ve orta dereceli diş çapraşıklıkları

  • Dişler arasındaki boşluklar

  • Hafif kapanış problemleri

  • Daha önce ortodontik tedavi görmüş dişlerde oluşan küçük konum değişiklikleri

Ancak her ortodontik vaka için şeffaf plak tedavisi uygun olmayabilir. Daha ileri düzey ortodontik problemlerde farklı tedavi yaklaşımları planlanabilir. Bu nedenle Konya Invisalign tedavisinin uygunluğu ancak ortodontik değerlendirme sonrasında belirlenir.

Konya Invisalign Fiyatları Hakkında Bilgi

Konya Invisalign fiyatları, planlanan ortodontik tedavinin kapsamına göre değişiklik gösterebilir. Tedavi süresi, kullanılacak plak sayısı, dişlerin mevcut durumu ve bireysel tedavi planı fiyatlandırmayı etkileyen faktörler arasında yer alır.

Bu nedenle Konya Invisalign fiyatları hakkında kesin bir değerlendirme yapılabilmesi için ortodontik muayene ve tedavi planlamasının gerçekleştirilmesi gerekir. Her hastanın ortodontik ihtiyacı farklı olduğundan fiyatlandırma da kişiye özel olarak belirlenir.

Invisalign ağrı yapar mı?

Invisalign plaklar takıldığında genellikle ağrıya neden olmaz. Ancak dişlerin hareket etmesine bağlı olarak ilk günlerde hafif bir baskı hissi oluşabilir. Bu durum, dişlerin planlanan yönde hareket ettiğinin doğal bir göstergesidir.

Baskı hissi genellikle kısa sürelidir ve birkaç gün içinde azalır. Geleneksel diş tellerinde görülebilen ağız içi yaralanmalar, şeffaf plaklarda daha az görülür.

Invisalign kimler için uygundur?

Invisalign, pek çok birey için uygun bir ortodontik tedavi seçeneği olabilir. Ancak her vakada uygulanabilirliği, dişlerin mevcut durumu ve tedavi hedeflerine göre değerlendirilmelidir.

Uygun olabilecek durumlar

  • Hafif ve orta düzey diş çapraşıklıkları

  • Dişler arasındaki boşluklar

  • Bazı kapanış bozuklukları

Sınırlı olabilecek durumlar

  • İleri derecede iskeletsel problemler

  • Çok karmaşık diş hareketleri gerektiren vakalar

Bu nedenle Konya şeffaf plak diş tedavisi, bireysel değerlendirme sonrasında planlanmalıdır.

Invisalign her yaş için uygun mudur?

Invisalign tedavisi, diş ve diş eti sağlığı uygun olan bireylerde farklı yaş gruplarında uygulanabilir. Ancak süt dişleri henüz değişmemiş küçük çocuklarda tercih edilmez. Daimi dişlerin büyük ölçüde sürmüş olması gereklidir.

Yetişkin bireylerde ise Invisalign, estetik kaygılar nedeniyle sıkça tercih edilen bir yöntemdir.

Invisalign tedavi süresi ne kadardır?

Invisalign tedavisinin süresi kişiden kişiye değişiklik gösterebilir. Tedavi süresini etkileyen faktörler arasında:

  • Dişlerin başlangıçtaki durumu

  • Tedavi hedefleri

  • Plakların düzenli kullanımı

yer alır. Ortalama olarak tedavi süresi birkaç ay ile bir buçuk yıl arasında değişebilir. Plakların belirlenen sürelerde değiştirilmesi, tedavi sürecinin planlandığı şekilde ilerlemesine yardımcı olur.

Invisalign plakların bakımı ve temizliği

Şeffaf plakların temizliği, ağız sağlığının korunması açısından önemlidir. Plaklar:

  • Ilık suyla

  • Yumuşak bir fırça ile

  • Plaklara özel temizlik ürünleriyle

temizlenebilir. Sıcak su kullanımı, plakların formunu bozabileceği için önerilmez. Plaklar kullanılmadığı zamanlarda kendi kutusunda saklanmalıdır.

Invisalign ile diş teli arasındaki farklar

Invisalign ve geleneksel diş telleri, ortodontik tedavinin farklı yöntemleridir. Aralarındaki temel farklar şu şekilde özetlenebilir:

  • Invisalign, şeffaf plaklardan oluşur ve estetik açıdan daha az fark edilir

  • Diş telleri sabittir, Invisalign ise takıp çıkarılabilir

  • Ağız bakımı Invisalign ile daha kolaydır

  • Konuşma ve günlük yaşam konforu açısından Invisalign bazı bireyler için daha avantajlı olabilir

Ancak her iki yöntemin de kendine özgü avantajları ve sınırlamaları vardır. Hangi yöntemin uygun olduğu, bireysel değerlendirme sonucunda belirlenir.

Invisalign tedavisinde dikkat edilmesi gerekenler

Invisalign tedavisinin başarılı olabilmesi için:

  • Plakların önerilen sürelerde takılması

  • Düzenli ağız hijyeninin sağlanması

  • Kontrollerin aksatılmaması

önemlidir. Plakların düzensiz kullanımı, tedavi süresinin uzamasına veya planlanan sonuçların elde edilememesine yol açabilir.

Invisalign, estetik kaygıları ön planda tutan bireyler için bir ortodontik tedavi seçeneğidir. Konya Invisalign, Konya Invisalign tedavisi ve Konya şeffaf plak diş tedavisi, diş diziliminde düzensizlik yaşayan bireyler için konforlu bir yaklaşım sunar.

Her ortodontik tedavide olduğu gibi, Invisalign uygulamasında da doğru değerlendirme ve bireye özel planlama büyük önem taşır. Tedavi süreci ve yöntemi, uzman hekim tarafından yapılan muayene sonrasında belirlenmelidir.

Konya Şeffaf Plak Diş Tedavisi Hakkında Genel Değerlendirme

Konya Invisalign ve Konya şeffaf plak diş tedavisi, ortodontik problemlerin düzeltilmesine yönelik planlanan modern tedavi seçenekleri arasında yer alır. Tedavi süreci, dijital planlama ve düzenli klinik takip ile yürütülür.

Her hastada tedavi planı bireysel olarak hazırlanır ve dişlerin hareketi kontrollü şekilde takip edilir. Uygun vaka seçimi, düzenli plak kullanımı ve ortodontik kontrollerin aksatılmaması tedavinin planlandığı şekilde ilerlemesi açısından önem taşır.

Sık Sorulan Sorular

Konya Invisalign tedavisi nedir?

Konya Invisalign tedavisi, dişlerdeki hafif ve orta düzey çapraşıklıkların düzeltilmesi amacıyla kullanılan şeffaf ve çıkarılabilir plaklarla planlanan ortodontik bir tedavi yöntemidir. Tedavi süreci, klinik muayene ve bireysel ortodontik değerlendirme sonrasında belirlenir.

 

Konya Invisalign kimler için uygun olabilir?

Konya Invisalign uygulamaları, dişlerde çapraşıklık, dişler arası boşluk veya hafif kapanış problemleri bulunan bireylerde değerlendirilebilir. Tedavinin uygun olup olmadığı, ortodontik muayene ve detaylı analiz sonrasında belirlenir.

Konya Invisalign tedavisi ne kadar sürer?

Konya Invisalign tedavisi süresi; dişlerin mevcut konumu, çapraşıklığın derecesi ve bireysel biyolojik yanıt gibi faktörlere bağlı olarak değişebilir. Tedavi planlaması her hasta için ortodontik değerlendirme sonucunda oluşturulur.

 

Konya Invisalign fiyatları nasıl belirlenir?

Konya Invisalign fiyatları; uygulanacak plak sayısı, tedavinin süresi ve bireysel ortodontik planlama gibi birçok faktöre bağlı olarak değişiklik gösterebilir. Bu nedenle kesin değerlendirme klinik muayene sonrasında yapılır.

 

Konya Invisalign tedavisi sırasında nelere dikkat edilmelidir?

Konya Invisalign tedavisi sürecinde plakların önerilen süre boyunca düzenli kullanılması ve ağız hijyenine dikkat edilmesi önemlidir. Ayrıca ortodontik kontrollerin aksatılmaması tedavi sürecinin planlandığı şekilde ilerlemesine katkı sağlar.

 
 
Explore
Drag