Skip links

Konya Gülüş Tasarımı

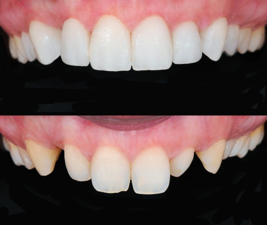
Gülüş, bireyin yüz ifadesini belirleyen en önemli unsurlardan biridir. Dişlerin dizilimi, rengi, diş eti seviyesi ve dudaklarla olan uyumu; estetik algının yanı sıra özgüven ve iletişim üzerinde de doğrudan etkilidir. Gülüş tasarımı, diş, diş eti ve dudak ilişkilerinin bilimsel ve estetik prensipler doğrultusunda kişiye özel olarak planlanmasını ifade eder. Konya gülüş tasarımı, bireyin yüz yapısı, mimikleri ve fonksiyonel ihtiyaçları dikkate alınarak oluşturulan bütüncül bir yaklaşımı kapsar.

Gülüş tasarımı, yalnızca estetik bir uygulama değil; aynı zamanda ağız sağlığını, çiğneme fonksiyonlarını ve uzun vadeli diş-diş eti uyumunu gözeten bir planlama sürecidir.

Gülüş tasarımı nedir?

Gülüş tasarımı; dişlerin formu, rengi, boyutu ve dizilimi ile diş eti seviyelerinin yüz estetiğiyle uyumlu olacak şekilde düzenlenmesini amaçlayan bir diş hekimliği yaklaşımıdır. Bu süreçte tek tip bir gülüş modeli uygulanmaz. Aksine her bireyin yüz oranları, dudak yapısı, gülme hattı ve kişisel özellikleri değerlendirilir.

Konya gülüş tasarımı uygulamalarında hedef; doğal, dengeli ve fonksiyonel bir gülüş elde edilmesidir. Estetik beklentiler, ağız sağlığı ve biyolojik sınırlar birlikte ele alınır.

Gülüş tasarımında hangi unsurlar değerlendirilir?

Gülüş tasarımı planlanırken birçok faktör bir arada değerlendirilir. Bu unsurların her biri, elde edilecek sonucun doğal ve uyumlu olmasını sağlar.

Dişler

  • Dişlerin rengi

  • Dişlerin şekli ve boyutları

  • Dişlerin dizilimi ve simetrisi

Diş eti

  • Diş eti seviyesi

  • Diş eti görünürlüğü

  • Diş eti sağlığı ve konturları

Dudaklar ve yüz

  • Dudak kalınlığı ve hareketi

  • Gülme hattı

  • Yüz orta hattı ile diş orta hattının uyumu

Fonksiyon

  • Çiğneme dengesi

  • Kapanış ilişkileri

  • Konuşma fonksiyonu

Tüm bu kriterler birlikte değerlendirilerek kişiye özel bir tasarım oluşturulur.

Gülüş tasarımı hangi tedavileri kapsar?

Gülüş tasarımı tek bir işlemden oluşmaz. Gerekli görülen durumlarda birden fazla tedavi yöntemi birlikte planlanabilir. Konya gülüş tasarımı kapsamında yer alabilecek uygulamalar şunlardır:

  • Porselen lamina kaplamalar

  • Tam seramik kaplamalar

  • Estetik dolgular

  • Diş beyazlatma uygulamaları

  • Diş eti seviyelendirme (pembe estetik)

  • Ortodontik tedaviler

  • Bonding uygulamaları

Bazı bireylerde yalnızca tek bir işlem yeterli olabilirken, bazı durumlarda bu tedavilerin kombinasyonu gerekebilir.

Hollywood gülüşü kavramı

Gülüş tasarımı, dünya genelinde “Hollywood Smile” olarak da adlandırılmaktadır. Ancak bu kavram, her birey için aynı gülüşün uygulanması anlamına gelmez. Hollywood gülüşü yaklaşımı; simetri, oran ve estetik denge prensiplerini temel alır.

Bu yaklaşımda:

  • Üst dişlerin gülme sırasında görünürlüğü

  • Dişlerin yüzle olan uyumu

  • Diş eti seviyelerinin dengesi

önem taşır. Ancak her bireyin yüz yapısı farklı olduğu için, tasarım mutlaka kişiye özel planlanmalıdır.

Dijital gülüş tasarımı nedir?

Dijital gülüş tasarımı, gülüş tasarımı sürecinin dijital teknolojiler kullanılarak planlanmasını ifade eder. Bu yöntem, hekim ve hasta arasındaki iletişimi güçlendirmeyi amaçlar.

Dijital gülüş tasarımında kullanılan veriler

  • Dijital ağız içi taramalar

  • Yüz ve gülüş fotoğrafları

  • Video kayıtları

Bu veriler, bilgisayar ortamında analiz edilerek öngörülen gülüş tasarımı oluşturulur.

Dijital gülüş tasarımı süreci nasıl ilerler?

İlk randevu

İlk randevuda ağız içi taramalar yapılır, yüz ve gülüş fotoğrafları çekilir. Bu kayıtlar, dijital tasarımın temelini oluşturur.

Tasarım aşaması

Alınan veriler dijital ortamda değerlendirilir. Yüz hatları, dudak yapısı ve diş oranları dikkate alınarak kişiye özel bir gülüş tasarlanır.

Mock-up uygulaması

Tasarlanan gülüş, “mock-up” adı verilen geçici uygulama ile ağız içinde gösterilir. Bu aşama, hastanın tasarımı görerek değerlendirmesine imkân tanır.

Tedavi süreci

Onaylanan tasarıma göre gerekli tedaviler planlanır ve uygulanır.

Dijital gülüş tasarımı kaç gün sürer?

Dijital gülüş tasarımının hazırlanma süresi genellikle birkaç gün içerisinde tamamlanır. Bu süre, alınan verilerin analiz edilmesi ve tasarımın oluşturulması için gereklidir. Süreç, hastanın ihtiyaçlarına ve planlanan tedavilere göre değişiklik gösterebilir.

Gülüş tasarımı kimler için uygundur?

Gülüş tasarımı, dişlerinin görünümünden memnun olmayan ve estetik beklentileri olan bireyler için değerlendirilebilir. Ancak her bireyin ağız ve diş yapısı farklı olduğu için, uygunluk mutlaka muayene sonrasında belirlenmelidir.

Gülüş tasarımı;

  • Diş rengi ve şekli ile ilgili estetik kaygılar

  • Diş eti görünürlüğü

  • Diş dizilimindeki düzensizlikler

gibi durumlarda planlanabilir.

Gülüş tasarımında doğallık neden önemlidir?

Estetik uygulamalarda en önemli hedeflerden biri doğallıktır. Aşırı beyaz, yüzle uyumsuz veya yapay görünümlü dişler estetik algıyı olumsuz etkileyebilir. Bu nedenle Konya gülüş tasarımı uygulamalarında, bireyin yüz hatları ve mimikleriyle uyumlu bir sonuç hedeflenir.

Doğal bir gülüş:

  • Yüz ifadesini destekler

  • Konuşma sırasında dikkat çekmez

  • Uzun vadede estetik memnuniyet sağlar

Gülüş tasarımı kalıcı mıdır?

Gülüş tasarımının kalıcılığı, uygulanan tedavi yöntemlerine ve ağız bakımına bağlıdır. Düzenli ağız hijyeni, kontrollerin aksatılmaması ve hekim önerilerine uyulması, elde edilen sonucun uzun süre korunmasına yardımcı olur.

Gülüş tasarımı sonrası dikkat edilmesi gerekenler

  • Ağız bakımına özen gösterilmelidir

  • Düzenli diş hekimi kontrolleri ihmal edilmemelidir

  • Diş sıkma gibi alışkanlıklar varsa kontrol altına alınmalıdır

Bu önlemler, gülüş tasarımının uzun vadede stabil kalmasını destekler.

Gülüş tasarımı, estetik diş hekimliğinin bilimsel ve sanatsal yönlerini bir araya getiren kapsamlı bir planlama sürecidir. Konya gülüş tasarımı, bireyin estetik beklentileri ile ağız sağlığını birlikte ele alarak doğal, dengeli ve fonksiyonel bir gülüş elde etmeyi amaçlar.

Her bireyin yüz yapısı ve estetik algısı farklı olduğu için, gülüş tasarımı mutlaka kişiye özel değerlendirme ile planlanmalıdır.

Sık Sorulan Sorular

Konya gülüş tasarımı nedir?

Konya gülüş tasarımı, dişlerin şekli, rengi ve dizilimi ile diş eti görünümünün birlikte değerlendirilerek estetik ve fonksiyonel açıdan uyumlu bir görünüm elde edilmesini amaçlayan diş hekimliği uygulamalarını ifade eder. Planlama, bireysel muayene ve estetik analiz sonrasında yapılır.

 

Konya estetik diş tedavileri hangi uygulamaları kapsar?

Konya estetik diş tedavileri; diş beyazlatma, lamine porselen uygulamaları, estetik dolgu, diş kaplamaları ve ortodontik düzenlemeler gibi farklı tedavi yöntemlerini içerebilir. Hangi uygulamaların gerekli olduğu klinik değerlendirme ile belirlenir.

 

Konya gülüş tasarımı kimler için değerlendirilebilir?

Konya gülüş tasarımı; dişlerin renginden, diziliminden veya formundan memnun olmayan bireylerde değerlendirilebilen estetik diş hekimliği yaklaşımlarından biridir. Tedavi planı kişinin ağız yapısı ve ihtiyaçları doğrultusunda oluşturulur.

 

Konya estetik diş tedavileri ne kadar sürede tamamlanır?

Konya estetik diş tedavileri süresi uygulanacak işlemlere göre değişebilir. Bazı işlemler tek randevuda tamamlanabilirken, bazı estetik uygulamalar birkaç randevu ve laboratuvar aşaması gerektirebilir.

 

Konya gülüş tasarımı sonrası nelere dikkat edilmelidir?

Konya gülüş tasarımı sonrasında düzenli ağız bakımı, dişlerin doğru şekilde fırçalanması ve diş hekimi kontrollerinin aksatılmaması önerilir. Bu alışkanlıklar uygulanan estetik restorasyonların korunmasına yardımcı olabilir.

 
 
Explore
Drag